Albiandrologia

Hólyagdaganat

tumor vesicae urinae

A hólyagrák a második leggyakoribb urológiai rosszindulatú daganat. A vezető tünete a véres vizelet, amely visszatérően jelentkezhet, gyakran alvadék darabokat is tartalmaz. A belső húgycsőnyílás közelében elhelyezkedő daganatok nehéz vizelést, gyakori, fájdalmas vizeletürítést is okozhatnak. Az vesevezetékek beszájadzását beszűrő daganat esetén a felső húgyutakban pangás, gyulladás, következményes deréktáji fájdalom jön létre.

Későn felfedezett esetekben teljes vizeletelzáródást, míg a mindkét vesevezetéket beszűrő esetekben a vizelet teljes hiánya, húgyvérűség, veseelégtelenség jöhet létre.

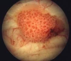
Diagnózisának első lépései a fizikális vizsgálat, vizeletvizsgálat és hasi ultrahangos vizsgálat. Pontosabb diagnózishoz és műtéti kivizsgáláshoz szükséges a hólyagtükrözés, amikor a hólyagban egy műszer segítségével körbenézünk. Végleges diagnózist csak a húgycsövön keresztül végzett műtét alatt eltávolított daganat szövettani feldolgozása után születik.